Helpful Clinical Tips…….

Radiographic Signs of CCL Disease

Classic Signs

It is almost true that you cannot diagnose a CCL tear on radiographs alone (see Cazieux sign below) as the cruciate ligaments can not be seen on radiographs, BUT there are many helpful hints to support such a diagnosis.

To the right is the same knee as pictured above but with the cranial and caudal joint swelling. This view also shows the popliteal sesamoid sign, which is supportive of cranial cruciate ligament disease.

De Rooster and Van Bree stated, “Distal displacement of the popliteal sesamoid is a useful parameter in the interpretation of tibial compression radiographs in case of cranial cruciate rupture in the dog. An accuracy of 99 percent and a specificity of 100 percent were achieved by assessing the localization of the sesamoid bone in the diagnosis of cruciate disease (JSAP 1999 vol 40, N7).

Joint swelling and “fat pad” signs are predominant findings in CCL tear dogs. This occurs when joint swelling pushes the fat pad cranially. The joint space density changes from predominantly black to grey.

The Cazieux sign is essentially capturing the knee in cranial tibial thrust on a radiograph. This requires positioning with a 90 degree angle at the hock and stifle. This is typical for TPLO measurements. Specific landmarks include a cranially subluxated tibia relative to the femur.

The Cazieux sign can be appreciated at a quick scan of a radiograph, however, if this is less obvious or the viewer is unsure, a formula has been created to prove the suspicion of cranial tibial thrust.

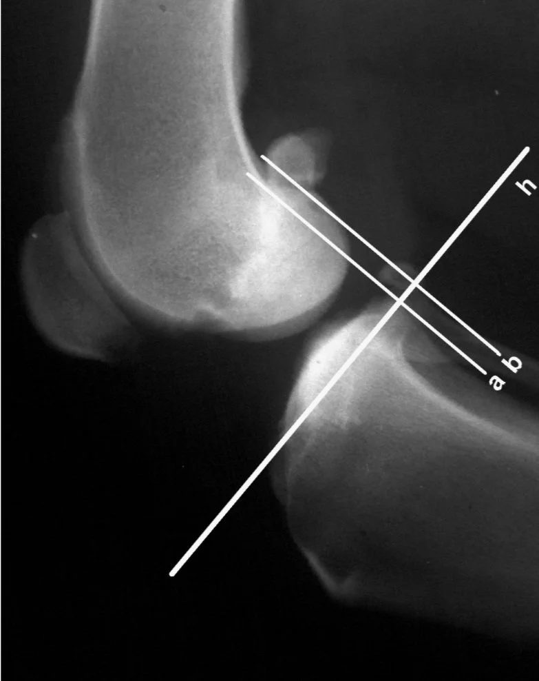
If your brain is a little more scientific-based and needs a more precise assessment, that yes, the tibia is cranially subluxated, there is a measurement you can do. Zatloukal et al (2000) created a more precise measurement of subluxation. First, a line (h) is placed parallel to the tibial plateau. Secondly, two lines are then placed perpendicular to this line, The first line (b) runs caudal to the caudal aspect of the lateral femoral condyle and the second line (a) caudal to the caudal aspect of the caudal tibial condyle.

See full article

Image above shows a non-subluxated stifle joint. The lateral condyles are aligned appropriated.

Image above shows the same stifle subluxated by specific 90/90 stress positioning. Note the smaller space between parallel lines due to cranial displacement of the tibial.